Plaučių vėžys sudaro didžiausią plaučių navikų dalį, tačiau kiti plaučių navikai pasitaiko mažiau nei 5 proc. visų atvejų. Šiame straipsnyje aptarsime keletą tokių bronchų kilmės darinių, taip pat bronzos sudėtį, savybes ir panaudojimo galimybes.

Bronchų Polipas
Apibrėžimas
Bronchų polipas - tai patologinis darinys, kuris dažniausiai diagnozuojamas asmenims, sergantiems lėtiniu bronchitu, bronchine astma, bronchektazėmis ar plaučių pūliniu. Jis gali atsirasti dėl bronchų svetimkūnio, bronchų gleivinės ar transbronchinės adatinės biopsijos, dirginančių medžiagų inhaliacijos. Manoma, kad bronchų polipas atsiranda dėl ilgai trunkančio gleivinės uždegimo arba dirginimo.
Patologiniai Morfologiniai Pokyčiai
Bronchų polipą dengia respiracinis epitelis, o stromą sudaro jungiamasis audinys ir kraujagyslės.
Klinikiniai Simptomai ir Tyrimai
Uždegiminis bronchų polipas gali sukelti kosulį, skrepliavimą, bronchų obstrukcijos simptomus, pasikartojantį plaučių uždegimą. Krūtinės ląstos rentgenogramose ir kompiuterinėse tomogramose pokyčių gali būti nematoma. Jei polipas siaurina ar užkemša broncho spindį, gali sumažėti plaučio apimtis ar susidaryti atelektazė.
Diagnostika, Gydymas ir Prognozė
Nedidelis bronchų polipas gydomas gliukokortikosteroidais ir antibiotikais. Didelis - šalinamas bronchoskopijos metu.
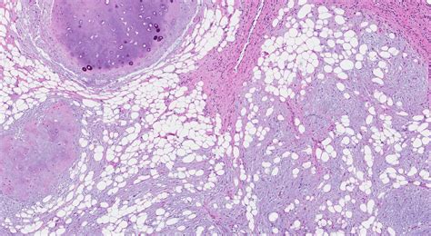
Hamartoma
Apibrėžimas
Hamartoma - nepiktybinis mezenchiminis plaučių navikas.
What is a Hamartoma? Hint: It’s not an actual tumor | Pathology Series
Patologiniai Morfologiniai Pokyčiai
Hamartoma sudaryta iš netvarkingai išsidėsčiusių normalaus audinio komponentų - mezenchimos, bronchų sienos ir plaučių parenchimos audinių elementų. Mikroskopuojant matoma, kad navikas sudarytas iš jungiamojo audinio, kremzlių fragmentų, riebalų, kartais - lygiųjų raumenų ir kaulinio audinio fragmentų. Pagal vyraujantį audinį skiriama hamartochondroma, fibrohamartoma, lipohamartoma ir kt. Hamartomą dengia neneoplazinis respiracinis epitelis.

Klinikiniai Simptomai ir Tyrimai
Dažniausiai hamartoma diagnozuojama 50-70 metų amžiaus žmonėms, tačiau gali būti nustatoma ir 9-20 metų pacientams. Periferinėje plaučių dalyje esanti hamartoma paprastai simptomų nesukelia. Bronchų hamartoma sutrikdo drenažinę plaučių funkciją, skatina prasidėti pneumoniją. Ligonis gali skųstis kosuliu, dusuliu, kraujo iškosėjimu, vienos plaučio dalies recidyvine pneumonija. Periferinėje plaučių dalyje esanti hamartoma krūtinės ląstos rentgeninio tyrimo metu matoma kaip intensyvus ryškių kontūrų ovalus pritemimas. Darinys dažniausiai yra nehomogeniškas. Apie 10-25 proc. atvejų jame gali būti apkalkėjimų, inkrustacijų. Jei hamartoma yra stambiame bronche, tiriant rentgenu matoma plaučio segmento ar skilties atelektazė arba sumažėjęs oringumas. Hamartomai būdingi kompiuterinės plaučių tomografijos požymiai - mažesnis negu 2,5 cm dydžio aiškių ribų „minkštos“ sienelės darinys, kuriame yra riebalų ir (ar) kalcio sankaupų. Bronchoskopuojant matomas darinys, užkemšantis broncho spindį, neinfiltruojantis aplinkinių audinių.
Diagnostika, Gydymas ir Prognozė
Periferinių plaučių dalių hamartoma diagnozuojama remiantis klinikiniais ir radiologiniais simptomais, o broncho hamartoma - bronchoskopiniais vizualiniais pokyčiais, kurie derinami su biopsijos duomenimis. Mažesnės kaip 2,5 cm dydžio simptomų nesukeliančios lėtai augančios hamartomos gali būti tik stebimos, kitos - pašalinamos chirurgiškai. Bronche esanti hamartoma gali sukelti recidyvinę pneumoniją ir yra gydoma chirurgiškai.
Karcinoidas
Apibrėžimas
Karcinoidas - neuroendokrininis plaučių navikas. Jis diagnozuojamas 1-2 iš 100 000 gyventojų. Kai kurie autoriai karcinoidą priskiria bronchų adenomoms. Bronchų adenomos - tai grupė plaučių navikų, kurių 80-90 proc. sudaro karcinoidai.
Patologiniai Morfologiniai Pokyčiai
Apie 80 proc. atvejų karcinoidas būna centrinėse plaučių dalyse. Paprastai tai 3-4 cm dydžio polipoidinis navikas, augantis į broncho spindį. Jį dažniausiai dengia nepakitęs kvėpavimo takų epitelis. Histologinė struktūra - organoidinės, trabekulinės, juostinės ar į rozetes panašios ląstelių struktūros, kurias vieną nuo kitos atitveria plonos fibrovaskulinės stromos struktūros. Skiriamas tipinis ir atipinis karcinoidas. Karcinoidas yra nedidelio piktybiškumo epitelinis navikas.
Etiologija ir Patogenezė
Karcinoidas susiformuoja iš neuroendokrininių ląstelių, kurių plaučiuose yra pavienių ar sudarančių neuroepitelinius kūnelius. Rūkymas yra etiologinis rizikos veiksnys. Karcinoidas gamina įvairius vazoaktyvius peptidus - serotoniną, bradikininus, tachikininus, histaminą, substanciją P, adrenokortikotropinį hormoną, prostaglandinus ir kt. Patekęs į sisteminę kraujotaką, jis sukelia vadinamąjį karcinoidinį sindromą.
Klinikiniai Simptomai ir Tyrimai
Klinikiniai simptomai priklauso nuo naviko vietos. Bronche esantis karcinoidas pasireiškia kosuliu, kartais - iškosima kraujo, vargina švokštimas, diskomforto jausmas krūtinėje, recidyvuoja respiracinė infekcija, kyla karščiavimas. Karcinoidinis sindromas pasitaiko labai retai (apie 2 proc. atvejų), dažniausiai tuomet, kai karcinoidas išplinta į kepenis. Krūtinės ląstos rentgenogramose ir kompiuterinėse plaučių tomogramose periferiniai karcinoidai dažniausiai matomi kaip periferiniai plaučių dariniai. Bronchoskopuojant bronche esantis karcinoidas panašus į polipoidinį ar navikinius audinius primenantį darinį.
Diagnostika, Gydymas ir Prognozė
Karcinoidas gydomas chirurgiškai. Kai yra išplitęs karcinoidas, ypač netipinis, ir jo nepavyko pašalinti, rekomenduojama chemoterapija. Kai yra metastazių, skiriama galvos smegenų ir kaulų radioterapija. Karcinoidinio sindromo simptomams slopinti gali būti skiriama oktreotido, histamino blokatorių.
Kiti Retesni Dariniai
Be jau aptartų darinių, pasitaiko ir kitų retesnių bronchų kilmės darinių:
- Lipoma: Lėtai augantis nepiktybinis navikas, kilęs iš riebalinio audinio ląstelių.
- Piktybinė fibrozinė histiocitoma: Retas navikas, pasireiškiantis nespecifiniais klinikiniais simptomais.
- Piogeninė granuloma: Nepiktybinis odos ir gleivinių navikas, kuris iš tikrųjų nėra granuloma ir nėra infekcinės kilmės.
- Kapošio sarkoma: Mažo piktybiškumo mezenchiminis navikas, dažniausiai diagnozuojamas AIDS sergantiems ligoniams.
- Lejomiomosarkoma: Piktybinis navikas, kilęs iš lygiųjų raumenų ląstelių.
- Plaučių limfomatoidinė granulomatozė: Reta plaučių kraujagyslių liga, pasireiškianti jų pažeidimu ir uždegiminių ląstelių infiltracija.
Periferinis Plaučių Darinys (PPD)
Apibrėžimas
Periferiniu plaučių dariniu (PPD) vadinamas pavienis ribotas ovalios ar apvalios formos pritemimas, matomas radiologiniame vaizde. Jis turi būti ne mažiau kaip du kartus didesnis už artimiausios kraujagyslės skerspjūvį. Darinys turi būti nesusijęs su limfadenopatija, atelektaze ar plaučių infiltracija. Šių darinių nematoma bronchoskopuojant. Darinio dydis 3 cm yra reikšmingas tuo, kad jei tai yra pirminis plaučių vėžys, tokio dydžio piktybinis navikas atitinka T1 stadiją.

Etiologija
Daugiau kaip 80 ligų gali pasireikšti periferiniu plaučių dariniu. Paprastai iškyla sunkumų, kai atlikus kompiuterinę tomografiją plaučiuose atsitiktinai aptinkama nedidelių darinių. Tyrimai rodo, kad daugumos rūkalių kompiuterinėse plaučių tomogramose matoma smulkių (paprastai iki 7 mm dydžio) darinių.
Nors dauguma PPD yra nepiktybiniai, tačiau gali būti ankstyvos stadijos plaučių vėžys.
Tyrimo metodai
Periferinių plaučių darinių kilmei išsiaiškinti naudojami įvairūs tyrimo metodai:
- Krūtinės ląstos rentgeninis tyrimas
- Kompiuterinė plaučių tomografija
- Pozitronų emisijos kompiuterinė tomografija
- Bronchoskopija
- Aspiracinė plaučių biopsija per odą
- Torakoskopija ir torakotomija
Diagnostinis algoritmas ir stebėjimo principai
Pirmasis diagnostinis žingsnis - esamų plaučių rentgenogramų ar kompiuterinių tomogramų palyginimas su ankstesnėmis. Jei darinyje yra nepiktybiniam navikui būdingų kalcinatų, biopsijos dažniausiai atlikti nereikia, ligonis toliau stebimas. Jei nebuvo atlikta plaučių kompiuterinė tomografija, ji būtinai atliekama. Per trejus metus nepakitęs darinio dydis beveik paneigia esant plaučių vėžį.
Bronza: Sudėtis, Savybės ir Panaudojimas
Bronza - tai vario lydinys, dažniausiai su alavu, kuris pasižymi puikiomis mechaninėmis ir estetinėmis savybėmis. Šiame skyriuje aptarsime bronzos sudėtį, jos savybes, panaudojimo galimybes bei su bronzos gaminiais susijusius aspektus.
Bronzos Sudėtis ir Lydiniai
Dažniausiai bronza yra vario lydinys su alavu, tačiau gali būti ir kitų elementų, tokių kaip aliuminis, silicis ar manganas. Šie priedai suteikia bronzai specifinių savybių, tokių kaip didesnis stiprumas ar atsparumas korozijai.
Pagrindiniai Bronzos Tipai:
- Aliumininė bronza: Šio tipo bronzoje pagrindinis legiruojantis elementas yra aliuminis, todėl ji dažnai pasižymi didesniu stiprumu ir atsparumu korozijai. Dažnai sutinkama pramonėje, laivybos ir siurblių įrangoje, armatūroje.
- Silicinė bronza: Silicinė bronza ir kiti specialūs lydiniai (pvz., su papildomais priedais) dažniausiai sutinkami specifinėse detalėse, kur reikia atsparumo dilimui ar korozijai.
Bronzos Milteliai
Bronze metal powders - tai smulkūs bronzos metalo milteliai, gaminami iš vario ir alavo lydinio. Šie milteliai pasižymi specifinėmis cheminėmis, mechaninėmis ir estetinėmis savybėmis, kurios leidžia juos naudoti įvairiose pramonės šakose - nuo meno kūrinių iki aukštųjų technologijų komponentų. Bronze metal powders plačiai naudojami metalo sinteravimo procesuose, kuriuose iš miltelių gaminami tvirti ir preciziški komponentai.
Vienas pagrindinių gamybos metodų - mechaninis bronzos smulkinimas naudojant malūnus. Sudėtingesnis, bet tikslesnis metodas - atomizacija, kai išlydyta bronza purškiama į šaltą aplinką, kur virsta smulkiomis dalelėmis.
Bronzos milteliai taip pat naudojami meno srityje - kuriant skulptūras, dekoratyvinius paviršius, mozaikas ar atstatant senovinius objektus. Bronze metal powders yra universali, ilgaamžė ir itin naudinga medžiaga tiek pramonėje, tiek mene. Dėl jų plataus panaudojimo spektro, šie milteliai tampa nepakeičiama dalimi gamybos, kūrybos bei inžinerinių sprendimų srityse.
Bronzos Panaudojimas
Bronza plačiai naudojama įvairiose srityse dėl savo savybių:
- Pramonė: Gaminant guolius, įvores, armatūrą, siurblių įrangą.
- Menas: Kuriant skulptūras, dekoratyvinius elementus, mozaikas.
- Statyba: Gaminant apdailos detales, furnitūrą.
Bronzos Litavimas ir Suvirinimas
Litavimas - tai procesas, kurio metu metalai sujungiami naudojant lydmetalį. Gerai nuvalyti mazgai ir laidai iš vario, žalvario, bronzos. Radijo mėgėjams dažniausiai tenka naudotis žemos temperatūros fliusais, kurie pagerina lydmetalio paskleidimą ir oksidavimosi procesus.
Spalvotų metalų montažo sujungimai lydmetaliais POS-30, POS-40. Varis ir jo lydiniai, nikeliuoti, cinkuoti, sidabruoti gaminiai taip pat gerai lituojasi. Nerūdyjančio plieno -vario ir nerūdyjančio plieno tarpusavyje sulitavimas galimas prie 350°C. Žalvaris, legiruotas plienas lydmetaliu PMC.
Aliuminio ir jo lydinių litavimas galimas minkštais lydmetaliais (temperatūra 220°C-320°C).
Fliusas:
Fliusas, likęs litavimo vietoje, ardo jungiamasias detales ir litavimo siūlę. Todėl fliuso likučius reikia rūpestingai nuvalyti. Likučius nuplauti spiritu.
Korozijos Valymas
Panaudojimas: geležis, bronza, varis ir vario lydiniai, žalvaris, plienas ir galvanizuoti gaminiai. Skystis selektyviai atskiria korozijos sluoksnį nuo bazinio metalo paversdamas korodavusį paviršių dumblu, kuris lengvai nuvalomas. Skystis efektyviausias temperatūroje nuo 10ºC iki 20ºC. Šaltesniame vandenyje sulėtina veikimą - patogi savybė pamerkiant dirbinį savaitgaliui. Suminkštėjęs korozijos dumblas turėtų būti nuvalomas metaliniu šepečiu, o paviršius turi būti nuriebalintas. Nedidelės korozijos paveikti dirbiniai jau po dviejų minučių bus be korozijos. Jei korozija didesnė ir metalas paliekamas ilgesnį laiką, retkarčiais patikrinti galima patrinant paviršių pirštu.
Indas, kuriame vyksta procesas gali būti geležinis, porcialianinis, guminis ar bet kokio plastiko. Galvanizuotas, alavuotas, cinkuotas arba dengtas švinu indas NETINKAMAS.
Bronzos Laužo Supirkimas
Čia rasite visus Lietuvoje veikiančius bronzos supirkėjus vienoje vietoje - galėsite juos palyginti, pamatyti įvertinimus ir atsiliepimus bei trumpai susipažinti su kiekvienu. Taip pat čia pateiksime orientacines bronzos supirkimo kainas ir paaiškinsime, kaip vyksta visas supirkimo procesas nuo A iki Z.
Veiksniai, lemiantys bronzos supirkimo kainą:
- Bronzos rūšis ir lydinio sudėtis.
- Užterštumas ir priemaišos.
- Forma ir frakcija.
- Kiekis.
- Rinkos situacija.
Kaip vyksta bronzos supirkimas:
Galite atvykti į supirkimo aikštelę su bronza arba pirmiausia susisiekti ir trumpai aprašyti, ką turite (tipas, kiekis, ar yra priemaišų). Jei kiekis didesnis, kai kurie supirkėjai siūlo atvykimą į vietą ir išvežimą. Supirkėjas vizualiai patikrina metalą, atskiria švarią bronzą nuo mišrios, įvertina drožles, guolius, įvores ir pan. Dažnai naudojami paprasti testai priemaišoms nustatyti (pvz., magnetas plienui). Surūšiuotos kategorijos pasveriamos, o kaina skaičiuojama pagal tos dienos įkainį už kilogramą. Jei dalis metalo neatitinka deklaruotos kategorijos, ji įkainojama atskirai. Sutikus su pasiūlymu, supirkėjas atsiskaito (grynaisiais ar pavedimu - kaip numatyta jo tvarkoje) ir išrašo reikiamus dokumentus. Fizinio asmens atveju gali būti taikomi mokesčių nuskaičiavimai pagal galiojančią tvarką.
Dažniausiai užduodami klausimai apie bronzos supirkimą:
- Kaip atskirti bronzą nuo žalvario? Praktiškai dažniausiai padeda spalva (bronza paprastai rusvesnė ir „matesnė“ nei žalvaris), taip pat garso ir magneto testai. Magnetas padeda greitai atmesti plienines priemaišas - bronza įprastai nėra magnetinė.
- Ar priimama bronza su plastiko ar plieno detalėmis? Dažniausiai taip, tačiau tokia bronza bus vertinama kaip „su priemaišomis“ arba „mišri“, todėl kaina bus mažesnė. Jei įmanoma, prieš priduodant verta nuimti plastiko detales ir atskirti plieną.
- Ar superkami bronziniai guoliai ir įvorės? Taip, tai viena dažniausiai priduodamų bronzos formų. Svarbu, kad detalės būtų kuo švaresnės ir be plieninių įdėklų.
- Ar superkamos bronzos drožlės? Dauguma supirkėjų priima bronzos drožles, tačiau jos turi būti kuo sausesnės ir be skysčių. Jei drožlės sumaišytos su kitų metalų drožlėmis ar prisigėrusios alyvos, įkainis paprastai mažėja.
- Ar reikalingi dokumentai priduodant bronzą? Dažniausiai taip - supirkėjai, pirkdami metalų laužą iš fizinių asmenų, prašo pateikti asmens dokumentą, kad galėtų tinkamai įforminti sandorį. Reikalavimai gali skirtis, todėl verta pasitikslinti pasirinkto supirkėjo taisykles.
- Ar reikia mokėti mokesčius už parduotą bronzą? Taip, atliekų (tarp jų ir metalo laužo) pardavimo pajamos apmokestinamos, o 5% pajamų mokestį nuo išmokamos sumos paprastai išskaičiuoja supirkėjas. Dėl konkrečių situacijų (pvz., jei veikla tampa nuolatine) verta pasitikrinti individualiai.
- Ar supirkėjai siūlo bronzos išvežimą? Daugelis supirkėjų siūlo išvežimą, ypač kai turite didesnį kiekį metalo. Kartais kartu gali būti siūlomas ir demontavimas ar pakrovimas.
Patarimai prieš priduodant bronzą:
- Jei įmanoma, atskirkite bronzą nuo kitų metalų ir nuimkite nemetalines dalis (plastiką, gumą).
- Venkite skysčių ir alyvų - jos laikomos užterštumu, ypač drožlėse.
Atsiskaitymas paprastai vyksta po rūšiavimo, svėrimo ir kainos patvirtinimo. Supirkėjai gali atsiskaityti grynaisiais arba pavedimu - priklauso nuo jų tvarkos ir sumos.
Bronzos Savybės
Bronzos lydiniai turi lydymosi tašką, kuris svyruoja nuo maždaug 900 ° C (1652° F.) iki 1000 ° C. Bronza yra geras šilumos dirigentas, nors ne toks efektyvus kaip grynas varis. Bronza yra žinoma dėl savo įspūdingo kietumo ir stiprybės, kuris skiriasi priklausomai nuo lydinio kompozicijos. Jis tinka didesnėms dalims, kadangi jis yra palyginti nebrangus ir gali tilpti įvairių dydžių asortimentas.
Pagrindinės bronzos savybės:
- Lydymosi taškas: 900° C iki 1000 ° C
- Karštas darbas: Karštos darbo technikos, tokių kaip karštas kalimas, yra naudojami formuoti bronzinius lydinius esant pakilusiam temperatūrai, paprastai tarp 500 iki 700 ° C.
- Po gamybos ir apdirbimo, Bronzai dažnai reikalauja papildomų paviršiaus procedūrų, kad padidintų jo išvaizdą, Spektaklis, arba ilgaamžiškumas. Tačiau, Patierinas taip pat gali būti dirbtinai sukeltas per kontroliuojamą cheminį gydymą, kad būtų pasiekta tam tikra spalva ar tekstūra.
Bronzos Lydinių Klasifikacija
Bronza turėtų būti suprantama kaip metalų lydinys vario pagrindu, į kurį pridedami legiravimo komponentai, padidinti gatavos medžiagos kietumą. Alavas, chromas, švinas, nikelis, aliuminis ir kiti metalai dažniausiai naudojami ligatūros pavidalu. Bronzos lydinio fizinės savybės, taip pat jo spalva ir kietumas turės skirtingas charakteristikas, kurios priklauso nuo lydinio komponentų procentinės sudėties.
Bronza, kuri turi ryškų raudoną atspalvį, susideda iš padidinto vario kiekio, o jei lydinys turi pilkšvą plieno atspalvį, vario kiekis joje sumažėja iki 30-35%. Bronzos lydinys susideda iš vario ir ligatūros, kurios gali būti tiek metalų, tiek nemetalų pavidalo - bronzos klasė priklauso nuo šios sudėties.
Bronzos lydinių klasifikacija pagal sudėtį:
- Dvikomponentė (metalas ir ligatūra, susidedanti iš 1 komponento)
- Daugiakomponentė
- Bealavos
- Alavo kompozicijos
Įdėjus alavo į varį, galite gauti liejimo lydinys. Tačiau, be didelio lydumo indekso, ši kompozicija taip pat turi gerą kietumą. Dažnai į tokį metalą taip pat dedama cinko, švino ir fosforo. Alavuotos bronzos rūšys tinka apdirbimui ir poliravimui. Aliuminis dažnai naudojamas bronzos lydiniuose. Ligatūroje tokios medžiagos yra nuo 6 iki 12%. Silicio į bronzą galima dėti nuo 3 iki 5%. Baigtas lydinys savo antikorozinėmis savybėmis pranašesnis už alavo lydinius, taip pat pasižymi dideliu mechaniniu stabilumu ir elastingumu. Be to, silicio lydiniai nėra įmagnetinti ir puikiai tinka elektriniam suvirinimui ir litavimui.
Bronzos Žymėjimas
Siekiant atskirti bronzos lydinius vieną nuo kito, buvo įvestas tam tikras žymėjimas. Esami bronzos prekės ženklai skiriasi viena nuo kitos ligatūros sudėtimi vario procentine dalimi. Bronzos lydinio žymėjimas turi abėcėlinį ir skaitinį pavadinimą. Bronzos lydinys pažymėtas santrumpa Br. Toliau ateina raidė, nurodanti pagrindinį ligatūros komponentą, o tada likusias sudedamąsias dalis. Kalbant apie skaičius, jie išdėstyti mažėjančia tvarka, nurodant ligatūros komponentų procentą. Pavyzdžiui, bronzos klasės BRAZHN 10-4-5 yra vario lydinys su aliuminiu, geležimi ir nikeliu. Be to, aliuminio lydinio sudėtyje yra 10%, geležies - 4%, nikelio - 5%. Likusi dalis yra varis.
Bronzos ir kitų vario lydinių palyginimas:
- Žalvaris: vario lydinys su cinku kaip pagrindiniu lydinio elementu.
- Alavo bronza: vario-alavo lydinys.
- Aliuminio bronza: vario pagrindo lydinys su aliuminiu kaip pagrindinis lydinio elementas.
Pridėjus tam tikrų lydinio elementų (pvz., cinko, alavo, aliuminio, berilio, mangano, silicio, nikelio, fosforo ir kt.) į gryną varį sudaro vario lydinį. Vario lydinys turi gerą elektrinį laidumą, šilumos laidumą ir atsparumą korozijai, taip pat didelį stiprumą ir atsparumą dilimui.
Lentelė. Bronzos lydinių sudėtis ir savybės
| Lydinys | Sudėtis | Savybės | Panaudojimas |
|---|---|---|---|
| Alavuota bronza | Varis, alavas (3-14%) | Geros mechaninės savybės, atsparumas korozijai, trinties mažinimas, geras liejimas | Guoliai, įvorės, spyruoklės, antikorozinės ir antimagnetinės dalys |
| Aliuminio bronza | Varis, aliuminis (5-12%) | Didesnis stiprumas nei žalvario ir alavo bronzos, atsparumas dilimui ir korozijai | Laivų statyba, chemijos pramonė, mašinos, prietaisai |
| Silicio bronza | Varis, silicis (3-5%) | Atsparumas korozijai, didelis mechaninis stabilumas ir elastingumas, nėra įmagnetintas | Jūrinių laivų dalys, cheminių mašinų dalys |