Nėštumas - tai ypatingas laikotarpis moters gyvenime, kurio metu vyksta daugybė fiziologinių pokyčių. Siekiant užtikrinti motinos ir vaisiaus sveikatą, nėštumo metu atliekami įvairūs tyrimai. Vienas iš svarbių prenatalinės patikros etapų yra sprando vaiskumo (NT), anksčiau vadintas "sprando raukšle", matavimas. Šis matavimas padeda įvertinti chromosominių anomalijų, tokių kaip Dauno sindromas, riziką.

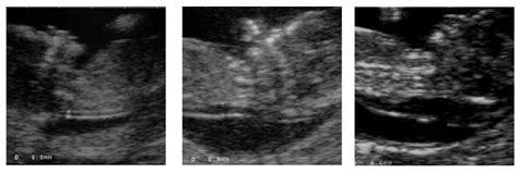
Sprando vaiskumos matavimas. Šaltinis: fetalmedicine.org
Sprando Vaiskumo Matavimo Esmė
Sprando vaiskumo matavimas atliekamas ultragarsu 11-13 nėštumo savaitę (11+0 - 13+6). Šio tyrimo metu:
- Nustatomas vaisiaus amžius.
- Įsitikinama, ar auga vienas vaisius, ar dvynukai.
- Įvertinama gimdos ir placentos kraujo apytaka.
- Įvertinamas gimdos kaklelio ilgis.
- Apžiūrima, ar nematyti anomalijų (apsigimimų).
- Matuojamas sprando vaiskumas.
Sprando vaiskumos matmuo ir nosies kaulo buvimas ar nebuvimas leidžia įtarti arba atmesti chromosomines vaisiaus ligas, dažniausiai 21 chromosomos trisomiją, t. y. Dauno sindromą. Tačiau šio matavimo tikslumas nėra šimtaprocentinis ir priklauso nuo gydytojo patirties, vaisiaus pozicijos ir kitų veiksnių.
Atminkite, kad šio matavimo tikslumas nėra šimtaprocentinis - priklauso nuo gydytojo patirties, vaisiaus pozicijos ir kt., šio metodo patikimumas 80 proc. Ir atvirkščiai, jei sprando vaiskumos tyrimas nerodė rizikos, tai nereiškia, kad vaikutis tikrai gims sveikas.
Sprando Vaiskumo Norma
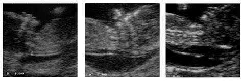
Embriono sprando vaiskuma neturėtų būti didesnė nei 3 mm. Kuo didesnis sprando vaiskumos matmuo, tuo didesnė chromosomų anomalijų rizika (apsigimimų). Jeigu sprando vaiskumos matmuo yra ≥ 2,5 mm, nėščiajai rekomenduojama pirmojo ar antrojo nėštumo laikotarpio prenatalinę diagnostiką (pirmenybę teikiant pirmojo nėštumo trečdalio prenatalinei diagnostikai).

Sprando vaiskumos matmuo (iš kairės į dešinę): 1,3 mm; 2,9 mm ir 6 mm. Šaltinis: babycentre.co.uk
Svarbu! Dauguma vaisių, kurių išmatuotas sprando vaiskumos matmuo būna per didelis, gimsta sveiki ir jų tolesnė raida būna normali.
Kada Reikalinga Chromosominių Anomalijų Patikra?
Dažniausia priežastis, kodėl moterys yra nukreipiamos vaisiaus chromosominių anomalijų patikrai, yra amžius. Tačiau patikra rekomenduojama ir kitais atvejais:
- Gimdymo metu bus 35-eri ir daugiau metų.
- Moters vyrui yra 42 metai ir daugiau.
- Moteris yra gimdžiusi arba nutraukusi nėštumą dėl vaisiaus raidos ydų.
- Pagimdžiusi vaiką su chromosomine patologija.
- Ji ar vaiko tėvas serga paveldima liga.
- Buvę du ir daugiau persileidimų.
- Jeigu ultragarsu matomi pakitimai.
- Jeigu atliko kraujo tyrimą ir jis rodo padidintą riziką.
- Buvo paveikta teratogeninių veiksnių (pvz., karščiavo nėštumo metu, vartojo nėštumo metu neleistinus medikamentus, buvo atliktas rentgenologinis tyrimas ir pan.).
Prenataliniai Tyrimai
Jeigu sprando vaiskumos matmuo yra ≥ 2,5 mm, nėščiajai rekomenduojama pirmojo ar antrojo nėštumo laikotarpio prenatalinę diagnostiką (pirmenybę teikiant pirmojo nėštumo trečdalio prenatalinei diagnostikai). Jei sprando raukšlės matavimas parodo, kad Dauno sindromo rizika yra didesnė nei 0.25%, tai laikoma reikšminga rizika. Tokiu atveju nėščiajai rekomenduojama atlikti vieną iš šių tyrimų:
- Amniocentezę (vaisiaus vandenų tyrimą): Šio tyrimo metu paimamas vaisiaus vandenų mėginys, kuris tiriamas dėl chromosominių anomalijų.
- Choriono gaurelių biopsiją (placentos audinio tyrimą): Šio tyrimo metu paimamas placentos audinio mėginys, kuris tiriamas dėl chromosominių anomalijų.
- PRISCA tyrimą: Kombinuotas testas, kurio metu atliekama ultragarsinė patikra ir imamas kraujas bei tiriami du biocheminiai žymenys. Gauti rezultatai yra suvedami į specialią programą, kuri skaičiuoja riziką.
- NIPT tyrimą: Neinvazinis prenatalinis tyrimas, kurio metu imamas mamos kraujas ir tiriama vaisiaus DNR, kuri patenka į motinos kraują. Šio tyrimo metu taip pat tiriamos chromosominės anomalijos.
Invaziniai ir Neinvaziniai Tyrimai
Svarbu suprasti skirtumą tarp invazinių ir neinvazinių tyrimų:
- Invaziniai tyrimai (amniocentezė ir choriono gaurelių biopsija): Šie tyrimai yra labai tikslūs, tačiau jie kelia nedidelę persileidimo riziką. Jeigu atliekama choriono gaurelių biopsija, tuomet prie bazinės persileidimo rizikos prisideda 0,22 proc. (bendra suma apie 2 proc.), o jeigu amniocentezė - 0,11 proc. (bendra suma apie 1 proc.).
- Neinvaziniai tyrimai (PRISCA ir NIPT): Šie tyrimai yra saugesni, nes jie neatliekami invaziniu būdu, tačiau jų patikimumas yra mažesnis nei invazinių tyrimų.
Gavus tiek vieno, tiek kito tyrimo patologinius rezultatus, yra privaloma patikrinti invaziniu tyrimu.
Dabar labiausiai paplitę kelių pakopų genetiniai tyrimai. Iš pradžių daromas PRISCA tyrimas, kuris yra lengvai prieinamas, nebrangus ir, jeigu nustatomos didelės rizikos, tuomet galima atlikti NIPT tyrimą. Pastarasis yra gana brangus ir kainuoja nuo 450 eurų. Jį renkamasi ir dėl to, kad moteris išvengtų invazinių procedūrų, dėl kurių padidėja persileidimo rizika.
PRISCA tyrimo metu yra atliekama ultragarsinė patikra ir imamas kraujas bei tiriami du biocheminiai žymenys. Gauti rezultatai yra suvedami į specialią programą, kuri skaičiuoja riziką. Šito tyrimo patikimumas - 90-95 proc., bet turi apie 5 proc. klaidingai teigiamų atvejų.
NIPT tyrimo metu imamas mamos kraujas ir tiriama vaisiaus DNR, kuri patenka į motinos kraują. Šio tyrimo metu taip pat tiriamos chromosominės anomalijos. Moterys galvoja, kad šis tyrimas yra labai tikslus ir nustato visus galimus apsigimimus, tačiau jo metu netiriamas vaisiaus kariotipas, kuris gaunamas iš invazinių tyrimų. Šio tyrimo patikimumas apie 99 proc. ir turi labai mažai klaidingai teigiamų atvejų.
Dauno Sindromas ir Kiti Chromosominiai Sutrikimai
Dauno sindromas - tai genetinis sutrikimas dėl 21 chromosomos trisomijos. Tai reiškia, kad 21-oji chromosoma yra patrigubėjusi, o ne dviguba kaip sveikų naujagimių.
Dauno sindromą turintys žmonės pirmiausia skiriasi savo išvaizda: jų akys - mažos, įstrižos, nosis ir pakaušis - plokšti, kakta - aukšta.
Rizikos Veiksniai
LSMUL Kauno klinikų Vaisiaus medicinos centro vadovė, gydytoja akušerė ginekologė doc. dr. Eglė Machtejevienė sako, kad dažniausia priežastis, kodėl moterys yra nukreipiamos vaisiaus chromosominių anomalijų patikrai, yra amžius. „Didžiausią dalį tyrimų atliekame dėl vyresnio moters amžiaus - tai sudaro net 85 proc. visų tyrimų. Ir nors šią patikrą galima atlikti visoms nėščiosioms, tačiau Lietuvoje yra remiamasi padidintos rizikos veiksnių metodika“, - pastebi specialistė.

Kauno klinikų Vaisiaus medicinos centro vadovė dr. Eglė Machtejevienė
Kada moteriai yra reikalinga chromosominių anomalijų patikra?
- Gimdymo metu bus 35-eri ir daugiau metų.
- Moters vyrui yra 42 metai ir daugiau.
- Moteris yra gimdžiusi arba nutraukusi nėštumą dėl vaisiaus raidos ydų.
- Pagimdžiusi vaiką su chromosomine patologija.
- Ji ar vaiko tėvas serga paveldima liga.
- Buvę du ir daugiau persileidimų.
- Jeigu ultragarsu matomi pakitimai.
- Jeigu atliko kraujo tyrimą ir jis rodo padidintą riziką.
- Buvo paveikta teratogeninių veiksnių, pavyzdžiui, karščiavo nėštumo metu, vartojo nėštumo metu neleistinus medikamentus, buvo atliktas rentgenologinis tyrimas ir pan.
Ką Daryti, Jei Tyrimai Nustato Chromosomines Anomalijas?
Jeigu tyrimai nustato chromosomines anomalijas, kiekvienas atvejis yra labai individualus bei jautrus ir yra sprendžiamas atsižvelgiant į situaciją. Organizuojamas gydytojų konsiliumas, pacientė yra konsultuojama specialistų ir tik tuomet pasirenkamas vienas ar kitas variantas. Sprendimai nepriimami lengvai.
Lentelė: Prenatalinių tyrimų palyginimas
| Tyrimo pavadinimas | Tipas | Atlikimo laikas | Tikslumas | Rizika |
|---|---|---|---|---|
| Sprando vaiskumo matavimas | Neinvazinis | 11-13 nėštumo savaitė | 80% | Nėra |
| PRISCA | Neinvazinis | 11-13 nėštumo savaitė | 90-95% | Nėra |
| NIPT | Neinvazinis | Nuo 10 nėštumo savaitės | 99% | Nėra |
| Choriono gaurelių biopsija | Invazinis | Nuo 11 nėštumo savaitės | 100% | Persileidimo rizika (apie 2%) |
| Amniocentezė | Invazinis | Nuo 15 nėštumo savaitės | 100% | Persileidimo rizika (apie 1%) |